Inicio
Zona Norte
Zona Centro
Zona Sur
Nacionales
Política
Policiaca
Historias y Tradiciones
Más Secciones
Ayuntamiento
Internacionales
Trabajos Especiales
Deportes
Congreso
Columnas

Tema:

SAT alerta por irregularidades en asignación de citas para trámites en Veracruz

La diputada Florencia Martínez confirma estar en su casa cuidándose de la pandemia

Veracruz acumula 2,865 muertes por Covid-19; hay 21 mil 666 casos confirmados


Hallan embolsados a los dos elementos de la Fuerza Civil reportados como desaparecidos

Suspenden búsqueda de la pequeña de 8 años arrastrada por un río en Coatepec; desmienten hallazgo del cuerpo

Edgar Mercado: el monarca michoacano de la cerveza artesanal


Distribuyen 2 mil cubrebocas en tianguis de la calle Toluca en Xalapa

Refuerzan acciones contra la Covid-19 en Xalapa

Espacios laborales sanos y seguros, en el Ayuntamiento de Xalapa


Entrega Adriana Esther solución antiviral a hospitales de Martínez de la Torre

Secretario de gobierno sigue recuperándose de COVID19

Taxistas realizan manifestación en Xalapa en apoyo a AMLO


Se prevé un fin de de semana caluroso sin descartar lluvias en Veracruz

Hugo López-Gatell podría visitar Veracruz para informar sobre covid-19

Veracruz, Coatza, Córdoba y Xalapa los municipios con más casos de COVID-19 en el estado; checa tu municipio


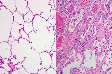
Este es el daño que provoca el coronavirus en los pulmones (FOTOS)

Donald Trump anuncia que prohibirá TikTok en Estados Unidos por seguridad nacional

México se el tercer país del mundo con más muertes por Covid-19


Página 1391 de 7587 , ir a página<< 1389 1390 1391 1392 1393 >>

Columnistas

CLAROSCUROS

Agua, drenaje, basura: problemáticas en municipios del sur de Veracruz

José Luis Ortega Vidal

CLAROSCUROS

Tres municipios sureños contarán con un suministro vital e histórico: ¡Agua!

José Luis Ortega Vidal

CLAROSCUROS

Maximino y Alfredo: interés comunitario y ciencia al servicio de la cultura y la vida

José Luis Ortega Vidal

CLAROSCUROS

Maximino y Alfredo: interés comunitario y ciencia al servicio de la cultura y la vida

José Luis Ortega Vidal

CLAROSCUROS

Maximino y Alfredo: interés comunitario y ciencia al servicio de la cultura y la vida

José Luis Ortega Vidal

Caricatura

Lo más leído

1

Sindicato de SETSUV se manifiesta frente al Poder Judicial exigen nivelación del salario mínimo

2

Hay que apoyar a citricultores, Veracruz produce 35% de la producción de cítricos

3

Diputadas Indira Rosales San Román y Elizabeth Morales e Indira Rosales,

4

FGE inicia carpeta de investigación por desaparición del tráilero Bulmaro Herrera Bandala

5

Diputado y dirigente de la sección 56 del SNTE José Reveriano Marín Hernández,

Historias y Tradiciones de Veracruz

Carnaval de Veracruz deja derrama superior a mil millones de pesos y asistencia histórica

Con broche de oro, Carnaval de Veracruz se confirma como el mejor de México

Veracruz confirma que tiene el mejor Carnaval del país: Rocío Nahle